Clinica Stomatologica Chisinau, Stomatologie Chisinau – TerraDent

Frenectomie

La nivelul cavității bucale există mai multe frenuri, acestea fiind plasate între buze și zona gingivală, dar și frenul limbii, plasat între limbă și planșeul bucal – vei auzi vorbindu-se popular despre el ca fiind o „ață ”. Acest fren este, de fapt, un țesut moale cu rol restrictiv în anumite mișcări pe care le facem cu limba sau cu buza.

În cavitatea orală avem 2 tipuri de fren: unul lingual (cel care se află sub limbă) și unul labial (cel care se află sub buză). În general, frenectomiile pot fi indicate atât pentru frenul buzei superioare și inferioare, cât și pentru frenul lingual.

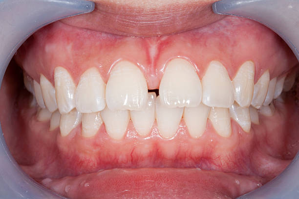
 Frenul poate fi un impediment în obținerea rezultatelor dorite, în special atunci când este cauza formării unui spațiu între incisivii centrali maxilari (dinții din față, de pe arcada superioară). De asemenea, tot frenul poate fi o cauză a bolilor parodontale, atunci când este așezat prea aproape de marginea gingivală – provoacă recesiune gingivală (retragerea gingiilor).

Cotact Us

Tell me your problem